MON - SAT
1500 SUMMER ST. STAMFORD, CT
203-324-6171
Why DCK?
Why DCK?
Office Tour Dental Care Kids
Event Calendar
Latest Technology
Solutions
Dental Care Teens
New Patients
Orthodontics
IV Sedation
Early Infant Oral Care
Orthodontics
Orthodontics Services
Orthodontic Care
Orthodontic Emergencies or Problems
Orthodontic Terms
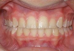
Orthodontics Before & After Photos
Resources
Blog
FAQs
Pay Bill Online
Appointment Request
Giveaways
First Visit
Office Tour Dental Care Kids
Kids Activities
Testimonials
Our Team
CONTACT US
Share with a friend
smile image Braces A